Enquiry Now

The Zirconia All-on-4 is a full arch solid zirconia All-on-Four implant restoration

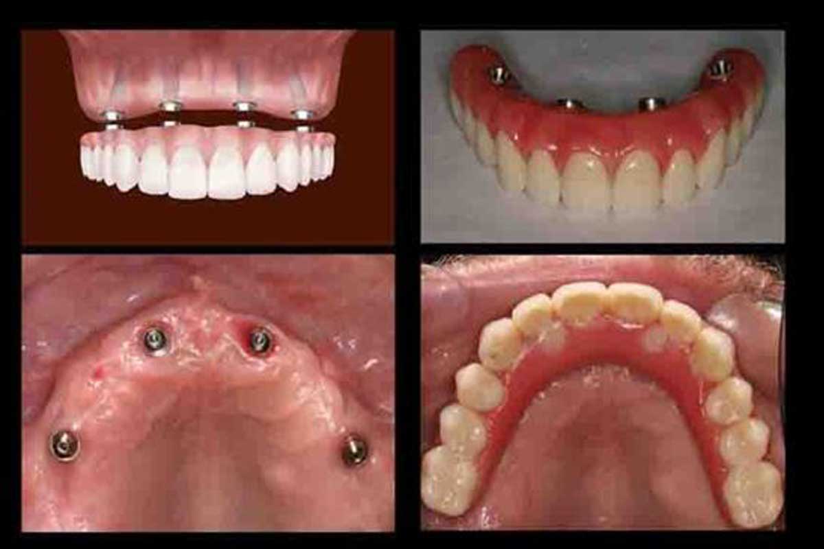
Zirconia All-on-4

The Zirconia All-on-4 is a full arch solid zirconia All-on-Four implant restoration. This screw-retained implant solution is durable and esthetic, dramatically improving speech and function. The Zirconia All-on-4 attaches to the implants with titanium connections for optimal strength. The zirconia used in the Zirconia All-on-4 is made up of tiny, fine, round particles and when sintered at 1565ºC, the smallest particles are combined, creating a glassy, smooth non-porous surface. As a result, this restoration will not stain like traditional acrylic dentures and have little maintenance.

Product Advantages

  • Solid zirconia with pink porcelain
  • Strong and esthetic restoration with no odor absorption
  • Affordable ceramic full arch restoration
  • Precise CADCAM fit
  • Improved speech
  • Hypo-allergenic
  • Predictable lab fees for the All-on-Four
  • Indications
  • Full arch implant supported prothesis for edentulous arch
  • Screw-retained bridges
  • 4 or more implants
  • Patient with ridge resorption
  • Contra-indications
  • Implants are more than 2mm subgingival
  • Facial screw access holes
  • *Divergent implants with greater than 10º divergence will require sub mucosal (Multi-Unit, Low Profile, SRA, etc…) abutment. Zirconia All-on-4 Material
  • Solid CADCAM milled zirconia All-on-Four
  • Pink hand layered ceramic gingiva
  • Titanium bases for strengthened implant platform connection